Table Of Contents
If you’re a horse owner, few things are more upsetting than having your four-legged friend injured.
While horses are generally pretty resilient creatures, some conditions can really affect their health and well-being. One of these conditions is kissing spine, which is a bit of a misleading name since it has nothing to do with the level of affection between two horses!
Kissing spine is a common cause of back pain in horses. It occurs when the vertebrae in your horse's back touch or 'kiss.' This leads to extreme pain and sometimes lameness and can be severely debilitating to your horse’s overall health.
In this post, we will cover the information on what kisses the spine in horses and the diagnosis, causes, and treatment of this degenerative condition.
Ready to learn all about what is kissing spine in horses? Let’s get into it!
What is Kissing Spine in Horses?

Kissing spine in horses refers to when the spinous processes (small bits of bone that extend from the vertebrae) touch each other instead of being spaced apart like normal. As you might guess from its name, this causes spinal pain and sometimes causes a lame horse or even paralysis.
It's important to note that kissing spine is not limited to racehorses or performance equines; it can affect horses of any breed or discipline. Several factors can contribute to the development of kissing spine, including poor conformation, incorrect saddle fit, and overuse or strain on the back. Catching kissing spine early on is essential, as the condition can worsen over time if left untreated.
Diagnosis typically involves a combination of physical examination, X-rays, and sometimes advanced imaging techniques like ultrasound or MRI. Treatment options vary depending on the severity of the condition. Still, they may include chiropractic adjustments, pain medication, physical therapy, and, in some cases, surgery to remove or modify the affected spinous processes. Regular monitoring and managing the horse's back health are crucial in preventing further complications or recurrence of kissing spine.
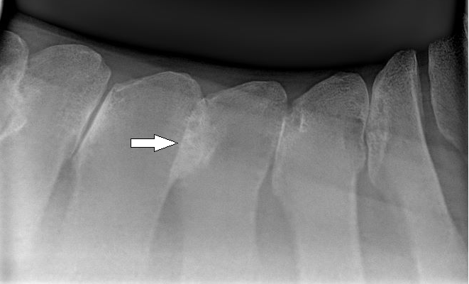
Pictures of Kissing Spine in Horses
The diagram below shows a horse’s spine in relation to the rest of its skeleton. You can see the nice, evenly spaced areas between the spinous processes. There is room for flexion and stretching.


Now, have a look at the image below. You will notice that this X-ray shows an arrow pointing at an overlapping of bones. These spinous processes are touching (or kissing) each other along the horse's back. There is no room for comfortable movement, and the bones rub painfully together.

Your horse’s spine health is crucial to their ability to work, and as you can tell from that comparison, they won’t be happy to carry a rider around or put in the work they are used to with a Kissing Spine. That is why it is not uncommon for kissing spines in horses to lead to typically docile ponies bucking riders off or acting up when they are in pain. After all, when your back aches, giving a piggyback ride isn’t likely to be on your list of things you’d like to do.
How Common is Kissing Spine in Horses?
Some horses are more predisposed to kissing spines. Thoroughbreds and horses who participate in dressage and eventing seem to be the most commonly affected by kissing spines. Some professionals believe this is because of back overuse during collection and lateral movements, leading to the spine compressing and the processes becoming painfully close.
For horses in performance sports, it’s important to ensure that their professional horse care team keeps an eye on their spine and conformation during training and performance and changes the routines as needed. Prevention and monitoring are very important in equine kissing spines in horses as it can be difficult to detect the condition until your horse is noticeably impaired or in pain. Maintaining a close relationship with your vet and other care providers can help use professional tools to diagnose and treat this condition before it gets too painful.
Signs of Kissing Spine In Horses
As horse owners, we must stay vigilant and on guard for our horses' health. This is especially true regarding monitoring for the symptoms of kissing spine in horses.
Often, a case of mild kissing spine in horses can be hard to detect and may appear to be a different condition at first glance. When a horse has a kissing spine, the signs vary widely, including vague or overt lameness and poor performance.
That doesn’t mean there aren’t some kissing spine symptoms in horses that you can watch for, though. Read on to find out the warning signs to look for in your equine pal to avoid kissing spine in horses.
Sign #1: Bucking Under Saddle
Bucking when ridden is a common symptom of kissing spine. This behavior often arises from discomfort or pain along the spine. When the horse’s back is under pressure from the saddle and rider, the pain from the overlapping spinal processes can cause the horse to buck as a reaction to the discomfort.
Sign #2: Reluctance to Stretch the Neck and Round the Back
Horses with kissing spine often resist stretching their necks and rounding their backs due to pain. The condition makes it painful for the horse to engage in movements that involve flexing the spine. This reluctance can be evident during grooming, training, or when asked to perform certain exercises.
Sign #3: Hind End Lameness
Hind-end lameness in horses can be a sign of a kissing spine, as the discomfort from the spine may cause the horse to shift its weight or alter its gait to avoid pain. This symptom can sometimes be mistaken for other issues but is often accompanied by other signs of a kissing spine.
Sign #4: Discomfort When Saddling or Doing Up the Girth
Horses with kissing spine frequently exhibit discomfort when saddled or when the girth is tightened. The pressure on their back can exacerbate the pain caused by the misalignment of the spinal processes. This reaction strongly indicates underlying issues with the horse's back.
Sign #5: Weight Loss
Weight loss can occur in horses suffering from kissing spine due to decreased appetite or difficulty maintaining a normal eating posture. The pain and discomfort associated with the condition can reduce the willingness to eat or absorb nutrients properly, resulting in weight loss over time.
Sign #6: Cross Cantering or Difficulty Maintaining a Canter
Kissing spine can affect a horse’s ability to maintain a balanced canter. Cross cantering, or difficulty maintaining a consistent gait, often stems from discomfort and instability in the back, which disrupts the horse’s normal movement patterns.
Sign #7: Pain When Palpating or Brushing the Back
Horses with kissing spine typically show pain when their back is palpated or brushed. This sensitivity is due to the inflammation and pressure on the affected spinal processes. Gentle handling can provoke reactions that help identify areas of discomfort.
Sign #8: General Irritability When Moving
Irritability when moving is another sign of kissing spine. The horse may exhibit increased sensitivity and agitation due to the constant discomfort in its back. This behavior often reflects the chronic pain associated with the condition.
If you notice these symptoms in your horse, it’s crucial to consult with your veterinarian. They can thoroughly examine your horse, including X-rays, nuclear scintigraphy, ultrasonography, or local anesthetic injections to confirm the diagnosis and rule out other potential health issues.
What Causes Kissing Spine in Horses?

Now that you know some signs of kissing spine in horses and how it's diagnosed, let's talk about what causes this condition.
Equine kissing spine in horses is generally seen as a preventable disease that can be managed fairly easily, though there are some cases where heritability plays a role.
We’re going to cover what causes kissing spine in horses in this section by explaining how the following factors impact your horse:
- Breed and genetics
- Physical conformation
- Conditioning
- Arthritis
Let’s stop horsing around and get to what causes kissing spine in horses.
Cause #1: Breed and Genetics
If you have wondered, “is kissing spine in horses hereditary?” then you wouldn’t be alone. Plenty of professionals have tried to answer this question in the name of helping prevent our horses from experiencing the pain of equine kissing spine in horses.
There are findings that seem to demonstrate the link between your horse’s genetics and kissing spine susceptibility. One study examined the genetic data and kissing spine grades of 220 horses. Among 50,000 chromosome locations examined, a single allele location (one-half of two inherited genes) was associated with a greater likelihood of kissing spines.
Translating from science jargon, there seems to be a link between genetics and the development of kissing spines in horses.
Other factors like age and sex don't seem to impact the likelihood of developing this condition, but height does seem to have a relationship. As your horse's height increases, so does the likelihood of developing equine kissing spines in horses.
Additionally, it is noted that certain breeds of horses are more likely to develop kissing spines.
Equine kissing spine in horses is more likely to occur in the following breeds:
- Warmbloods
- Thoroughbreds
- Quarter Horses
If you own one of these kinds of horses, then it’s important to note any changes in their behaviour and focus on careful care to prevent the condition.
Cause #2: Conformation
Conformation is a big factor in whether or not a horse develops a kissing spine.
As you likely know, conformation refers to how your horse is shaped and structured and relates to their abilities. Good conformation is the key to good performance, and bad conformation can lead to injuries and painful conditions like an equine kissing spine in horses.
Conformation problems with an equine kissing spine in horses include:
- Too-narrow chest
- Shallow chest bone (sternum)
- Short neck
- Large head in relation to their body
Additionally, if their pelvis is too wide or they have a long back with weak muscles connecting their vertebrae together, they are also prone.
Consult your vet if you see sudden changes in your horse’s conformation, and make sure you are doing your part in training to condition your horse appropriately for their conformation.
Cause #3: Improper Conditioning
Speaking of conditioning and doing your part to prevent signs of kissing spine in horses, let’s talk about how improper conditioning can lead to kissing spines.
Thanks to several studies and research focused on good conditioning practices around kissing spines, we know a few things make your horse more susceptible to the condition.
Those more likely to develop equine kissing spines in horses are ridden and trained:
- With a high head
- With a hollow back
- Trained under saddle too young
Equines who are ridden under these conditions are more likely to face symptoms of kissing spine in horses.
Why exactly is that the case, though?
A horse needs its dorsal spinous processes (its spine's vertebrae) to lift and spread to support the weight of a rider while avoiding a horse injury. When a horse's internal supports, aka the muscles, in the topline and back are not trained properly and are weak or held incorrectly, the bones can rub together, resulting in extreme pain.
Consider how important your posture can be as a human. When we sit at desks for a long time or do manual labour, we must ensure we support our backs and spines with correct posture and abdominal support. Otherwise, our backs can be achy and sore. The same principle applies to your horse with a kissing spine.
Cause #4: Arthritis of the Hock or Sacroiliac
Kissing spine in horses can be a major source of pain for your equine. In fact, kissing spines, along with dorsal articular facet arthritis, make up 50 to 70 percent of the back problems vets treat in horses.
So, to say these two conditions are related is an understatement!
Horses with a kissing spine tend to hold themselves funny, causing them to develop other back pain and stiffness. Kissing spines tend to affect the area in the middle of your horse’s back, around vertebrates T16 towards the back to L2-3. Arthritis is more likely to affect things further back.
Either way, when these two conditions are both present or are related to each other’s development, you need to tackle a few key problems to reduce kissing spine symptoms in horses:
- Reduce cartilage breakdown
- Rebuild deteriorated cartilage
- Reduce pain
- Reduce inflammation
This is because degenerative conditions like arthritis and kissing the spine cause your horse’s joints to break down, leading to pain and discomfort. Supplements with glucosamine chondroitin for horses, like Integricare’s TRI-ACTA for Equine, allow you to take care of everything we just listed in one easy-to-feed supplement, so your horse can face work and play with more comfort, even if they have arthritis alongside equine kissing spine in horses.
TRI-ACTA H.A. for Equine
Our maximum strength formula is perfect for horses that are ageing, experiencing arthritis and stiffness, are in training and competition, or under a heavy workload.
How To Prevent Kissing Spine In Horses

Preventing kissing spine in horses is all about taking proactive steps to ensure your horse's back stays healthy and pain-free. Focusing on key prevention strategies can help your horse avoid the discomfort and complications of this condition. These simple yet effective measures can make a big difference in your horse’s well-being, from ensuring a properly fitted saddle to maintaining good conformation and supporting joint health.
The table below provides essential tips for keeping your equine companion in top shape and avoiding kissing spine issues.
|
Kissing Spine Prevention Tip |
Why it Matters |
What To Do |
|
Proper Saddle Fit to Your Horse |
A poorly fitted saddle can put excessive pressure on the horse's back, causing this condition to develop. |
Have your saddle professionally fitted and regularly checked to ensure it continues to fit your horse correctly. Adjustments may be needed as your horse's body changes over time. |
|
Good Conformation |
Horses with poor conformation, particularly those with back or spinal abnormalities, are at higher risk for developing kissing spine. Proper conformation supports a healthier spine and overall balance. |
Work with an equine professional to assess and improve your horse’s conformation through appropriate training and conditioning exercises. Consider genetic testing if breeding. |
|
Joint Supplementation |
Joint supplements can support overall spinal health and reduce the risk of issues that might contribute to kissing spine. Healthy joints and ligaments support a strong and flexible spine. |
Provide a high-quality joint supplement such as TRI-ACTA for Equine to help maintain joint health and support overall spine function. Regularly review your horse’s diet and supplementation with your vet. |
Treatment For Kissing Spine In Horses
A diagnosis of kissing spine would have spelled the end of a performance horse's career in years past. While this can be a painful condition, luckily, improvements in surgical, pharmaceutical, and rehabilitation treatments have given hope to owners of horses with kissing spines.
We’re going to go over a few of the most popular ways to treat equine kissing spine in horses in this post, including:
- Kissing spine surgery in horses
- Joint injections
- Joint supplements
- Alternative therapies and modalities
Let’s get into the options for treating equine kissing spine in horses!
Kissing Spine in Horse Surgery
Sometimes, the best solution for treating your horse’s pain is also the most invasive.
Kissing spine surgery for horses entails using surgical intervention on the sections of the spinous processes or ligaments in the area that are causing your horse pain. Depending on your horse’s condition and other factors, like if they have arthritis, your vet can recommend the best course of treatment for your special equine.
The two types of kissing spine surgery in horses are outlined in the table below.
|
Kissing Spine in Horse Surgery |
What It Is |
Average Cost of Kissing Spine Surgery in Horses |
|
Spinous Process Resection |
Removes the sections of affected spinous processes to create space between the vertebrates.1 |
$2,500 - $3,0002 |
|
Interspinous Ligament Desmotomy (ISLD) |
Involves cutting the ligaments between the affected spinous processes to relieve tension and give space between the spinous processes. Is a promising, relatively new technique compared to spinous process resection.1 |
$800 - $1,2002 |
Just remember that, like any surgery, there are risks of complications and that recovery plans need to be followed closely for the best outcome after kissing spine surgery in horses.
It is generally recommended that horses remain in the hospital for approximately a week and have 6-12 weeks off before riding again. The type of procedure performed, and the aftercare will differ from horse to horse, though, so be sure to ask lots of questions to your vet and follow their instructions carefully.
Following surgery, feeding an extra-strength horse supplement for joints like TRI-ACTA H.A. can help your horse feel like their old selves a little faster and provide the healing support to the soft tissues and joints.
TRI-ACTA H.A. for Equine
Our maximum strength formula is perfect for horses that are ageing, experiencing arthritis and stiffness, are in training and competition, or under a heavy workload.
Joint Injections
You have probably heard about joint injections around the barn for various conditions. They can deliver targeted medicine and treatment to the site of injury most effectively, in a fairly minimal way.
Joint injections can also be used to treat equine kissing spine in horses. Injections to the joints where the spinous processes are rubbing can help alleviate pain and inflammation.
As outlined in the table below, several different types of joint injections can be used to help treat equine kissing spine in horses:
|
Joint Injections for Kissing Spine in Horses |
Description of Injection |
|
Osphos for Kissing Spine in Horses1 |
Helps decrease bone loss and helps the bone to reform thanks to a mechanism involving calcium phosphate. |
|
Hyaluronic Acid for Horses |
Helps to reduce inflammation and improve healing, as well as increase the supply of synovial fluid |
|
Corticosteroids2 |
Helps to reduce inflammation through a synthetic version of cortisol, a naturally occurring substance that helps the body respond to stress |
One of the most common injectable treatments is hyaluronic acid for horses (HA), found naturally in healthy joints' synovial fluid. Hyaluronic acid inhibits inflammation, supplies nutrients to cartilage, and aids healing. These properties make it particularly effective as a treatment for osteoarthritis caused by kissing spine.
You can also get the healing power of hyaluronic acid in a joint supplement like TRI-ACTA H.A. for equine, a perfect complement to a round of joint injections. Combining H.A. oral supplements with injections can even help extend the pain-relieving benefits and increase the amount of time between shots.
Joint Supplements
When it comes to kissing spine, you need to focus on treating the symptoms alongside the problem itself.
When the bones of a horse’s spinous processes rub together, you know there is bound to be pain and inflammation in the joints. Additionally, scar tissue can form and lead to arthritis.
That’s why it's important to tackle the problem alongside treating the symptoms so that it doesn’t worsen or degenerate.
To help with the pain and effects of equine kissing spine in horses, choose a supplement with ingredients like:
- Hyaluronic acid
- Glucosamine
- Chondroitin
- MSM

These ingredients help reduce kissing spine symptoms in horses, and build back strong, healthy cartilage to support your horse as they pursue other treatments for kissing spine.
Alternative Therapies
If you want to avoid invasive procedures like joint injections or back surgery due to cost or personal reasons, alternative therapies are worth exploring as well.
It’s important to remember that if your horse is suffering from a severe case of kissing spine, medical and surgical treatment should be the first priority to ensure that the problem doesn’t worsen.
Suppose you have a case of mild kissing spine in horses or hope to approach the problem from a multi-pronged approach. In that case, implementing a few alternative methods can be a great way to alleviate the pain that comes with symptoms of kissing spine in horses.
Some options for treating the symptoms of kissing spine in horses alternatively include:
- Mesotherapy: Injection of substances to stimulate the skin's mesoderm, or middle layer.
- Shockwave therapy: Focuses waves of energy at the pain points to stimulate healing naturally.
- Chiropractic care: Helps restore your horse’s joints to a natural range of motion.
- Acupuncture treatments: Stimulating the body in specific locations to create a therapeutic effect.
Lastly, the right conditioning and exercise plans can help alleviate pain from kissing spine. Horse strength training has shown promise in reducing lameness caused by various types of arthritis in laboratory studies.
FAQ
Can You Ride a Horse With Kissing Spine?
Riding a horse with kissing spine depends on the severity of the condition and the horse's comfort. A vet may approve light riding with proper management and treatment in mild cases. However, for more severe cases, riding might exacerbate the pain and worsen the condition. Always consult your veterinarian for personalized advice.
Is Kissing Spine in Horses Hereditary?
Kissing spine is believed to have a hereditary component, although not exclusively genetic. Factors such as conformation, biomechanics, and environmental influences also play significant roles. Breeding practices considering the horse's spine health can help reduce the risk.
What Does Kissing Spine Look Like in Horses?
Kissing spine manifests as the abnormal contact or overlapping of the spinal processes in a horse's back. This can be visible in X-rays as bony growths or abnormal alignment of the vertebrae. Physical signs may include a noticeable arch in the back or discomfort when touched along the spine. For a clearer understanding, see our pictures of kissing spine in horses.
Start Tackling Kissing Spine Symptoms in Horses

You'll be prepared the next time your horse starts acting out of the ordinary when you get them under the saddle. And now that you know that the pain in your horse's back can be managed, you can keep your equine friend on track. Just remember the most important thing you can do to take care of your horse is to get in touch with your vet if you suspect a kissing spine.
The next most important thing?
Supporting their joint and soft tissue health through a supplement like Integricare’s TRI-ACTA for Equine.
It is an all-inclusive joint supplement that contains active ingredients such as chondroitin and glucosamine. These ingredients help reduce inflammation and joint pain caused by the condition, making it easier for your horse to move freely; whether you’re pursuing surgery for a severe case of kissing spine in horses or managing a case of mild kissing spine in horses at the barn.
Find out where to buy Integricare’s TRI-ACTA for Equine, and get started protecting your beloved pal’s joints from painful degenerative joint conditions like kissing spines.
TRI-ACTA for Equine
Providing preventative support for younger horses and helping mitigate the early onset of joint degeneration and other mobility issues.
TRI-ACTA for Equine
Providing preventative support for younger horses and helping mitigate the early onset of joint degeneration and other mobility issues.

